Fen's Story

Fen came to see Dr. Edinger in January 2010 because of sudden right rear limb lameness after playing fetch. He was a very active 2 year old Boykin Spaniel and loved running and hunting at home. He had previously had some trouble with the left knee, but it seemed to go away with rest and activity restrictions.
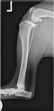
A thorough physical examination showed signs of positive cranial drawer and tibial thrust (unnatural movement) in the right knee. He was sedated and radiographs were taken, which showed arthritic changes in both his knees.
Dr. Edinger diagnosed him with bilateral cranial cruciate ligament (CCL) tears; completely torn on the right, and partially torn on the left. Due to Fen’s active lifestyle and the arthritis that was already present in both knees, Fen’s people elected to pursue bilateral Tibial Plateau Leveling Osteotomies (TPLO’s) to correct the instability in both of his knees.




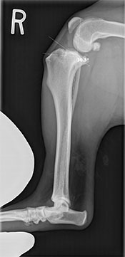
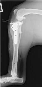
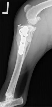
Fen was absolutely stable throughout surgery, and the rotation of the tibial plateau in both knees went well. After a night of hospitalization, Fen went home the next day, perky and moving well. He wanted to get back to his active lifestyle right away so his people had had to work diligently to hold him back. Recheck radiographs were taken 5 weeks after surgery, and Fen had already healed 60-70% of the cut. As you can see by the softening of the edges from the post-op radiograph to the 5 week recheck.
Fen was restricted for about 4 more weeks with increased leash walking to try and rebuild any muscling he may have lost. He continued to be strong and determined throughout his recovery. After being given the go ahead to resume normal activity, Fen was back to his Boykin ways, including his trademark “Boykin Bounce”. He bird hunts regularly and has the run of the 9 acres on the home farm.
For more information on TPLO’s and how they work, please see our services page or feel free to call (608) 845-0002 or email us.